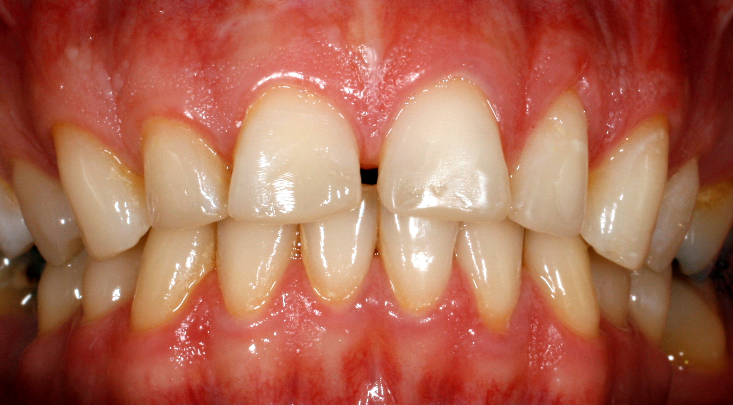
A metal or clear fixed orthodontic appliance that aligns teeth in a matter of months - just 6 to 8 on average!



Metal FASTBRACES® on upper and lower arches followed by Zoom! Teeth Whitening. Fixed and removable retainers
LEARN MORE ABOUT FASTBRACESbook online


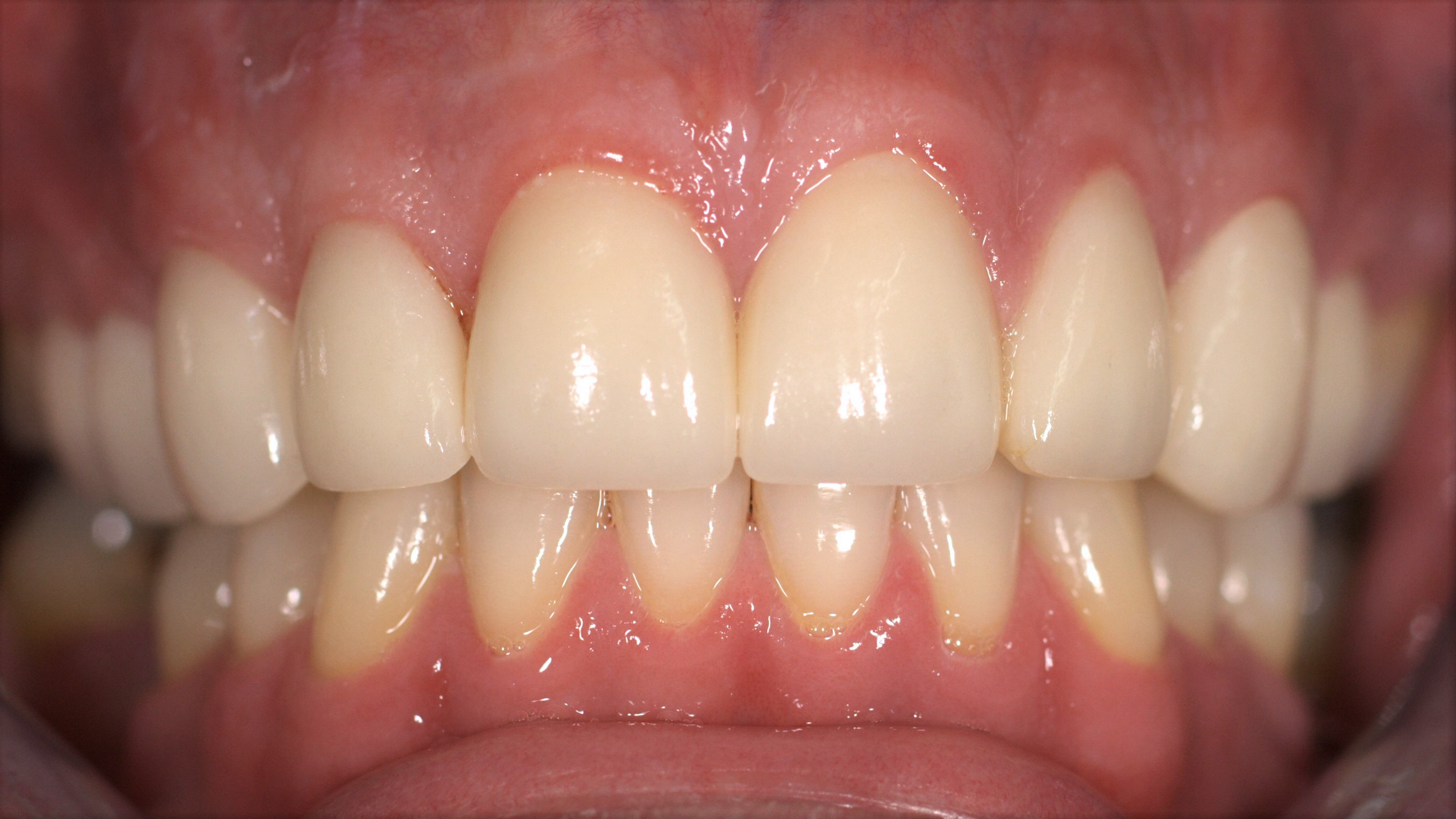
Metal FASTBRACES® on upper and lower arches followed by Zoom! Teeth Whitening. Fixed and removable retainers
LEARN MORE ABOUT FASTBRACESbook online

Metal FASTBRACES® on upper arch followed by Zoom! Teeth Whitening, composite edging, fixed and removable retainer
LEARN MORE ABOUT FASTBRACESbook online
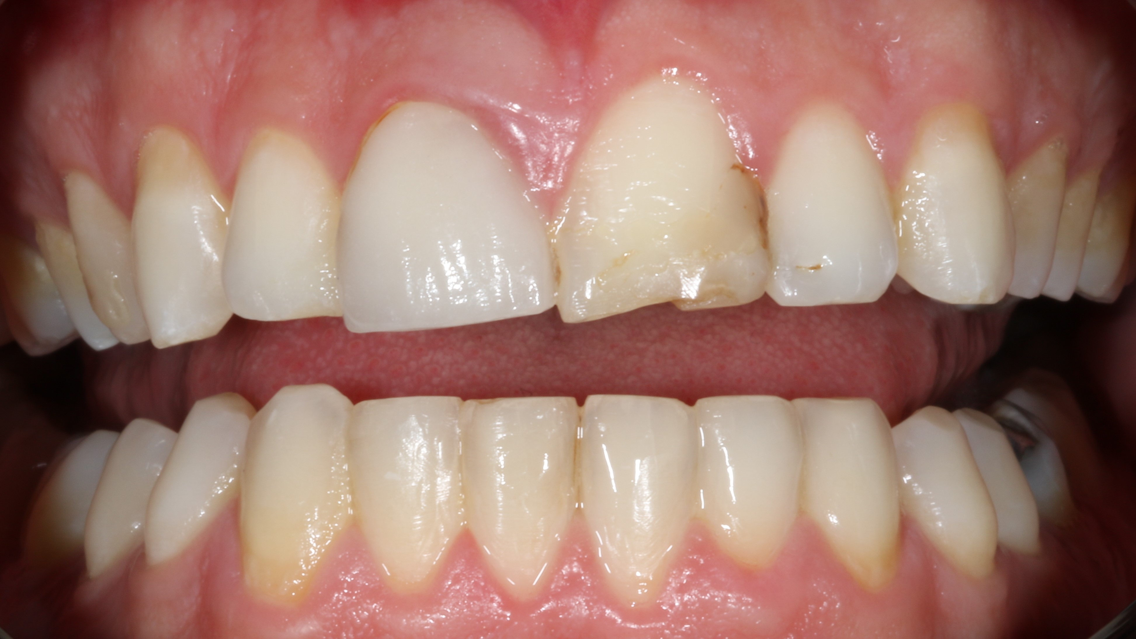
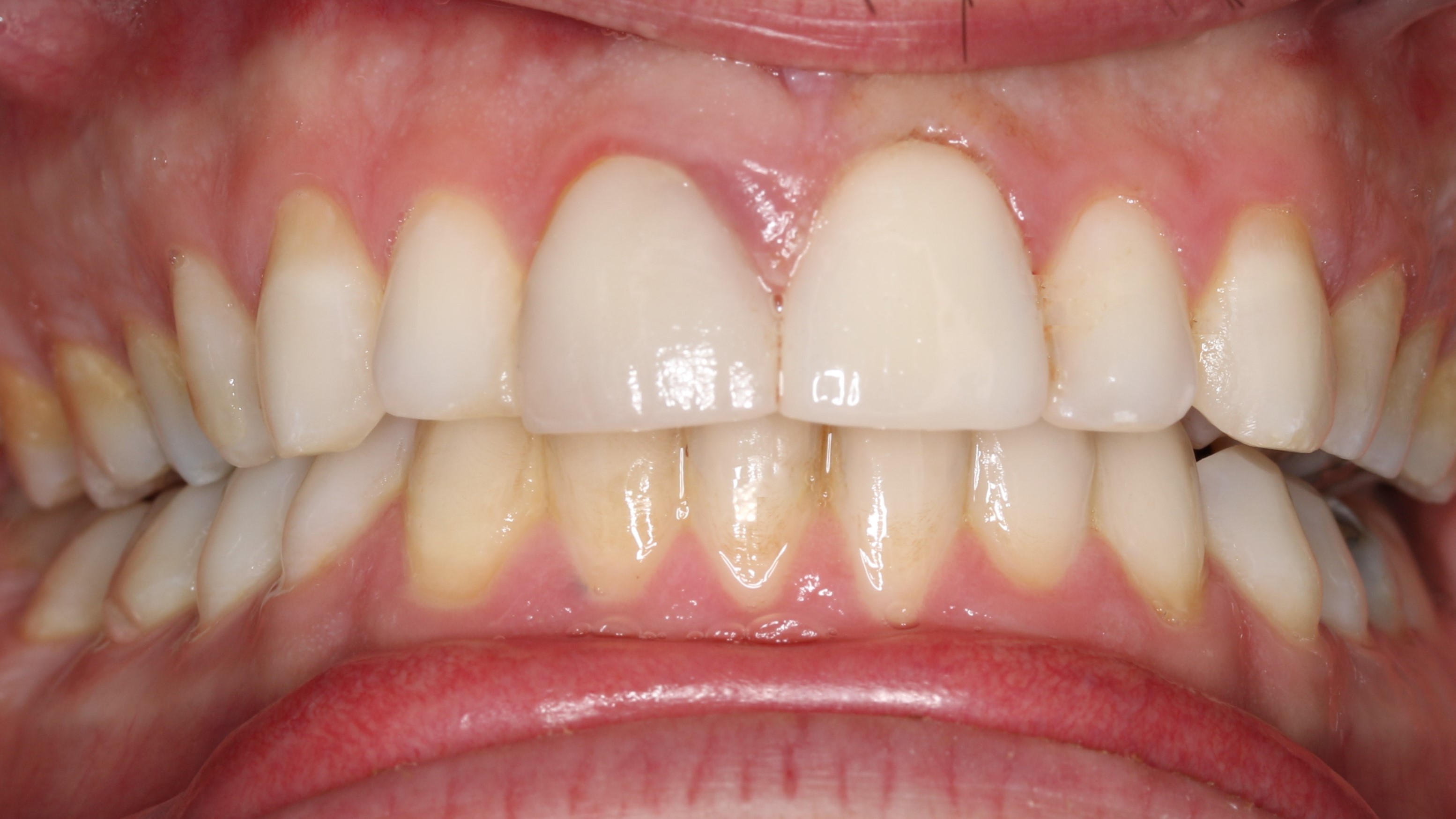
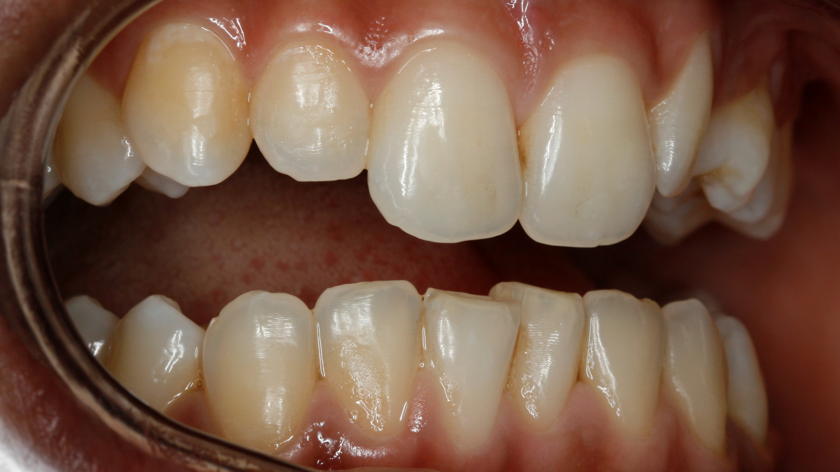
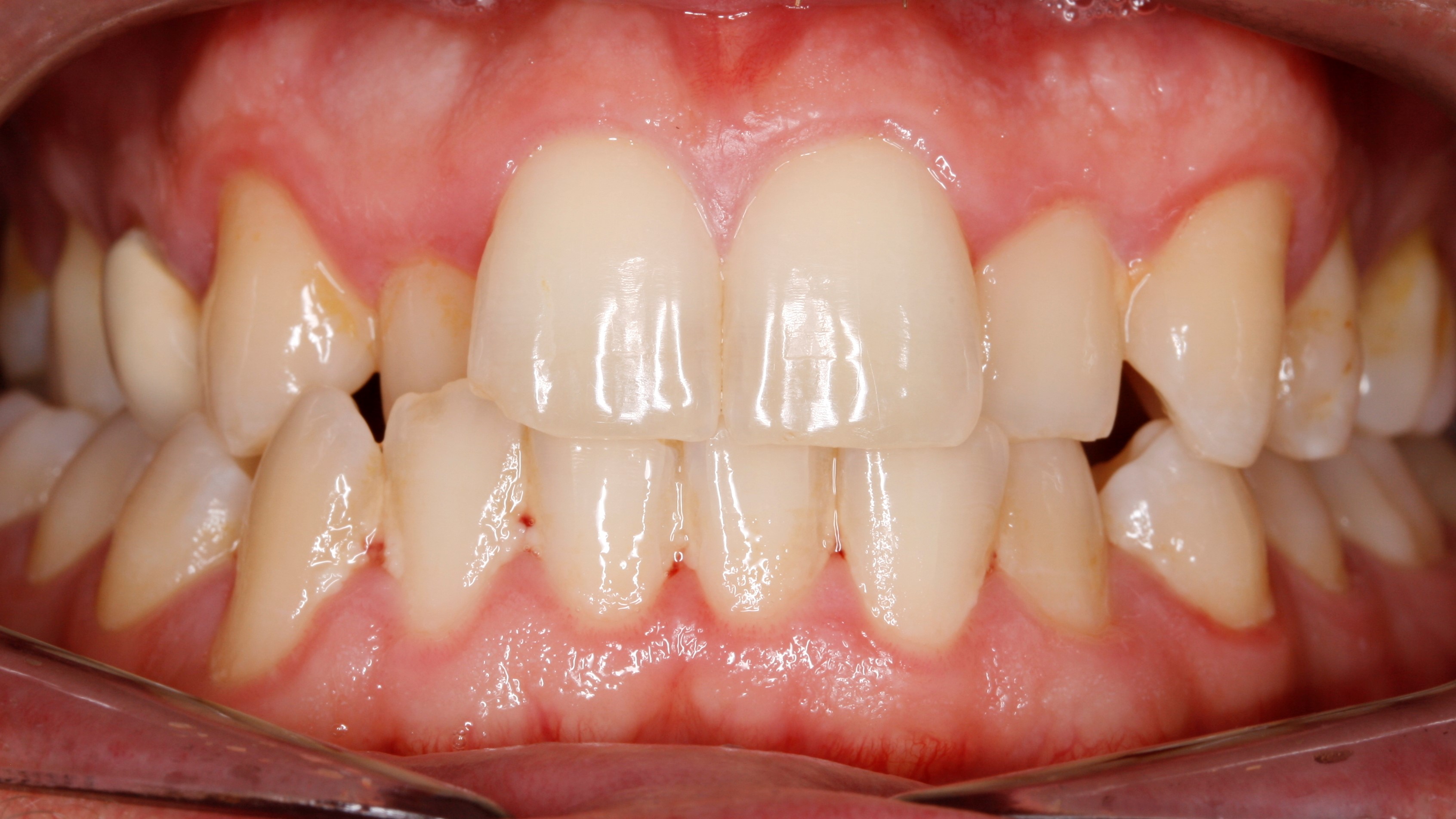
FASTBRACES® on upper and lower arches followed by Zoom! Teeth Whitening, composite edging, fixed and removable retainers
LEARN MORE ABOUT FASTBRACESbook online
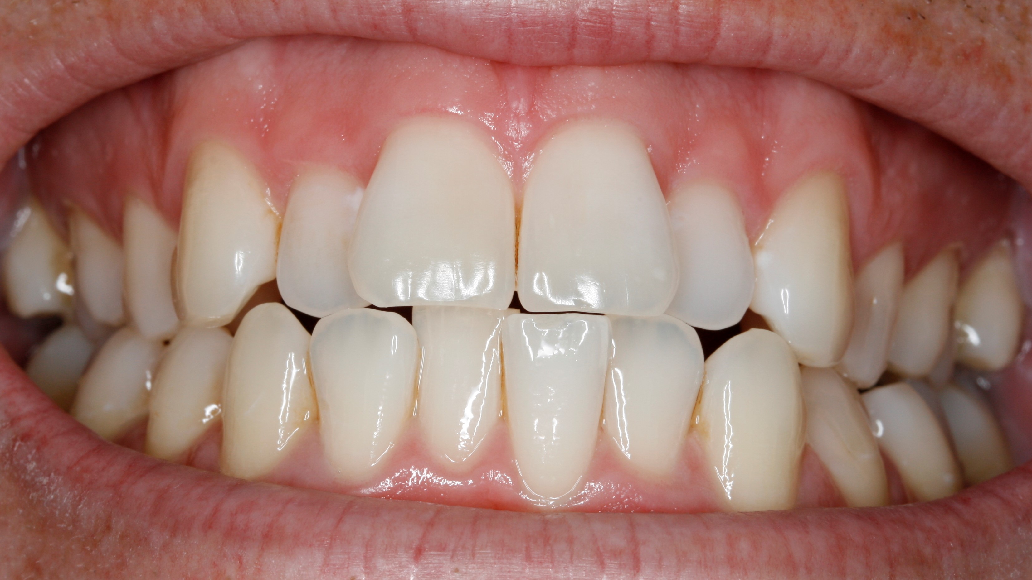
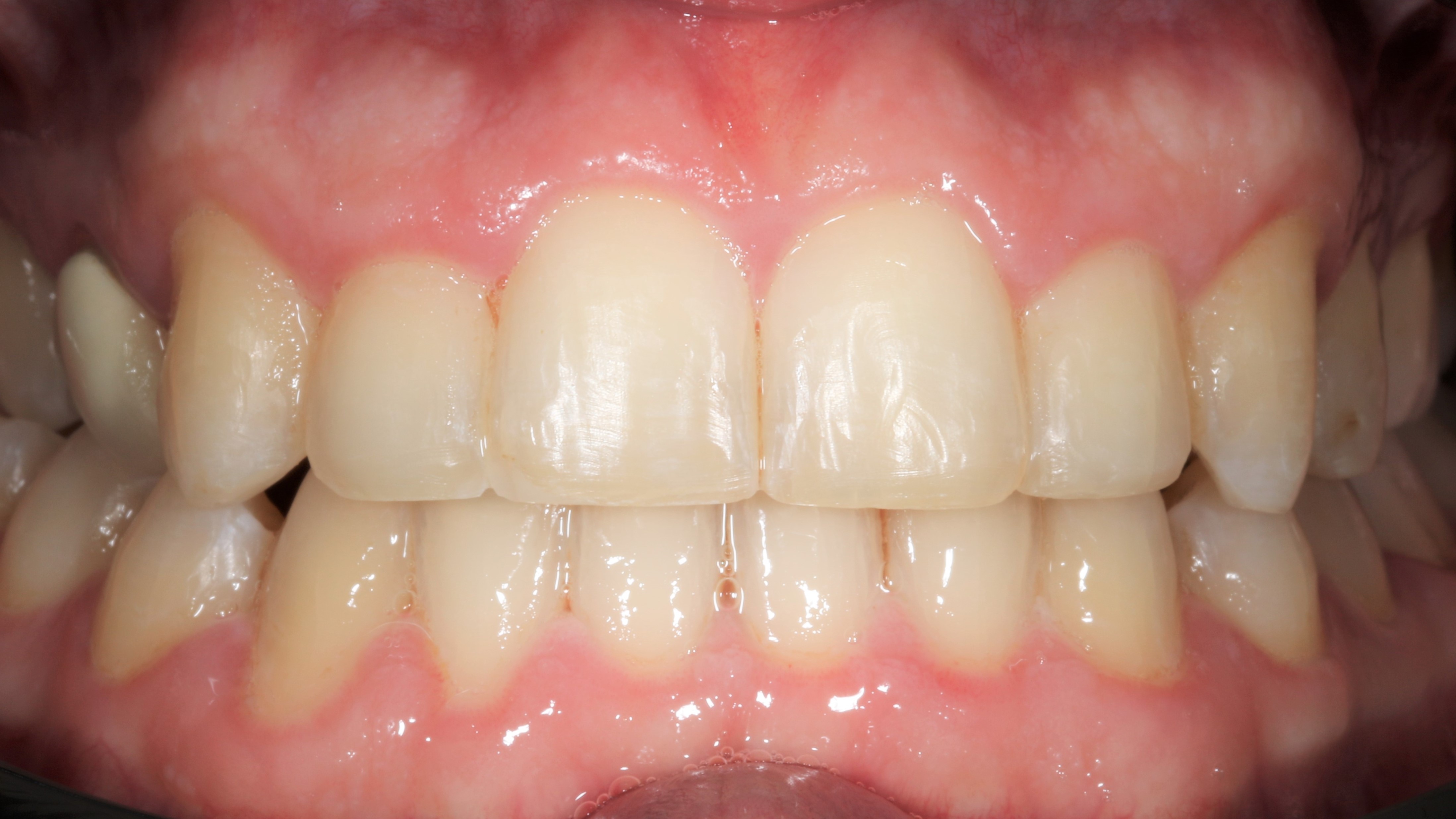
FASTBRACES® on upper and lower arches followed by composite edging, fixed and removable retainers
LEARN MORE ABOUT FASTBRACESbook online


FASTBRACES® on upper and lower arches followed by Zoom! Teeth Whitening, composite edging, fixed and removable retainers
LEARN MORE ABOUT FASTBRACESbook onlineClear, removable and almost invisible! A great teeth straightening alternative to a traditional brace.



INVISALIGN® followed by Zoom! Teeth Whitening and retainers
LEARN MORE ABOUT Invisalignbook onlineWith beautiful, natural results, porcelain veneers can improve the colour, shape and position of your teeth.


Gum contouring followed by upper porcelain veneers 5 to 5
LEARN MORE ABOUT DENTAL VENEERSbook online

Zoom! in-Practice tooth whitening "Laser" or "power whitening" is a whitening procedure that can make teeth up to five or six shades lighter.



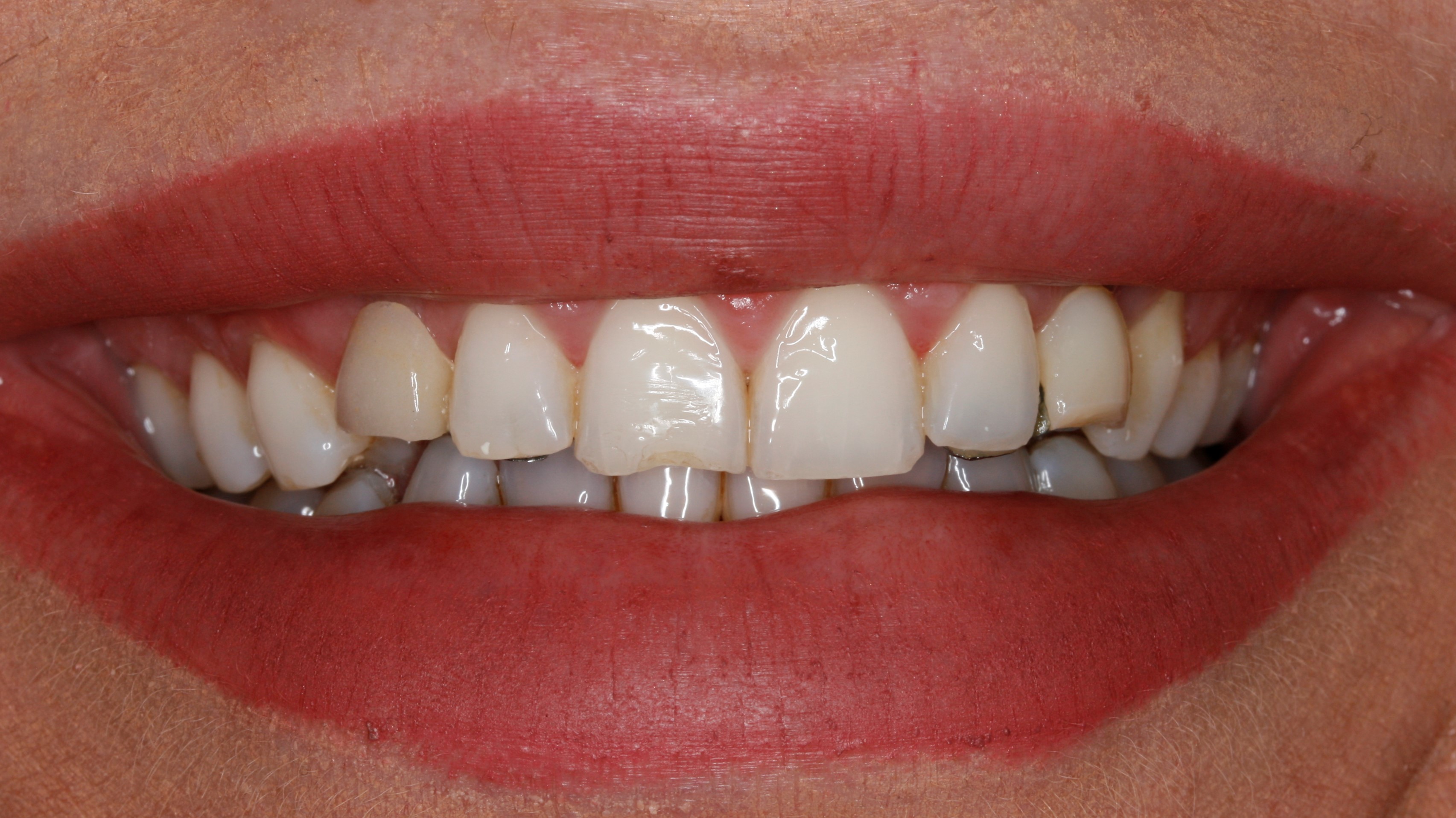
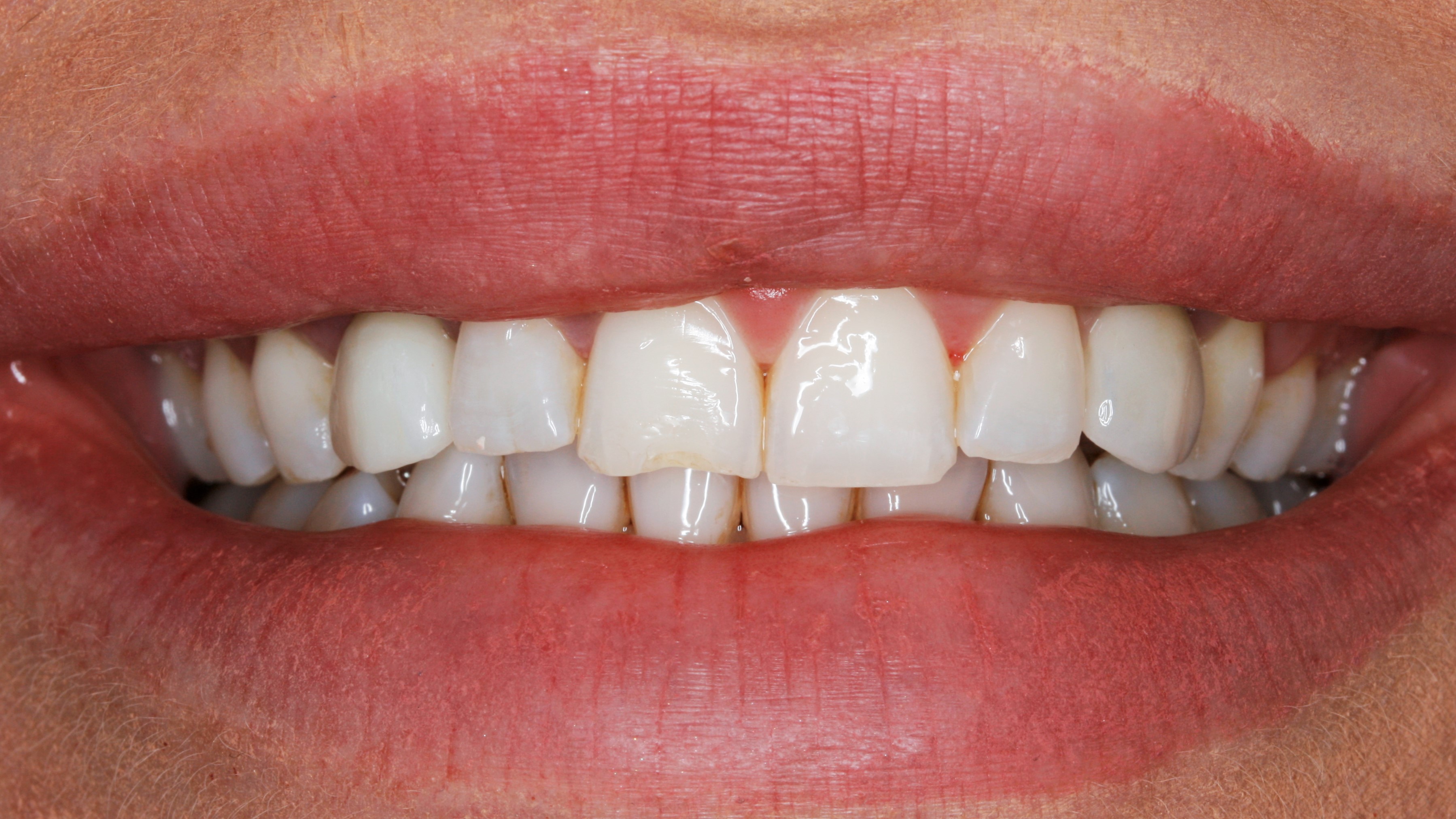
Metal FASTBRACES® upper and lower followed by whitening.
Fixed and removable retainers.
Our wide range of effective cosmetic treatments can help you with your dis-coloured, worn, chipped or crooked teeth.




Smile reconstruction, root canal and crowns
LEARN MORE ABOUT COSMETIC DENTISTRYbook onlineA dental implant isa perfect solution if you are missing one tooth or multiple teeth.


Extracted two retained baby teeth (canines) and replaced with dental implants
LEARN MORE ABOUT DENTAL IMPLANTSbook online123 Brans Road San Diego,
California 94070.
United States.

